time
з 9.00 - до 20.00 пн-сб
Вихідні та святкові за попереднім записом
time
м. Біла церква, вул. Волонтерська, 5
Ласкаво просимо

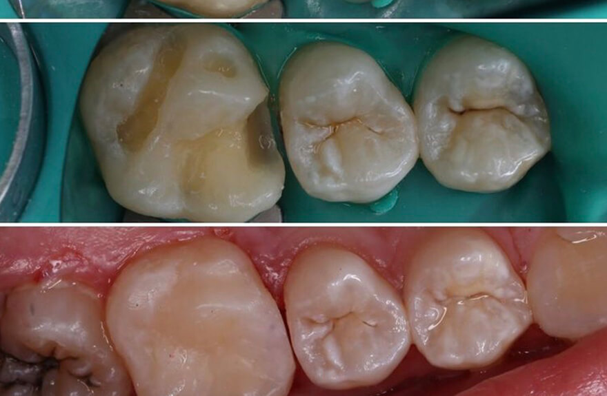
Реставрація

Реставрація

Лікування карієсу

Своєчасне лікування карієсу - значно економить гроші і зберігає здоров'я зубів. Адже поки ураження зуба незначне - лікування проходить швидко і безболісно. Воно включає в себе: знеболювання (за бажанням пацієнта), препарування каріозної порожнини (видалення тканин зуба, уражених карієсом) і відновлення зуба за допомогою фотополімерної реставрації.

icon icon Записатися на прийом
icon iconПошук лікаря
slide
slide
slide
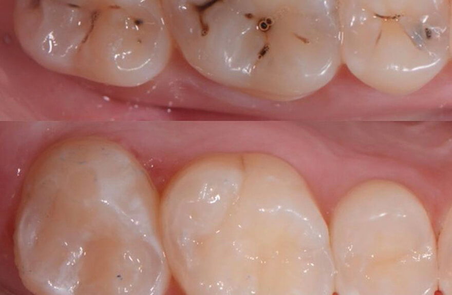
Реставрація
Реставрація
Матеріали, які ми використовуємо для реставрацій: GRADIA DIRECT (Японія), ASTERIA Estelite (Японія), Ivoclar Vivadent (Ліхтенштейн).
Лікування гіпоплазії емалі
У нашій стоматології є метод лікування гіпоплазії емалі без препарування за допомогою системи ICON (MGM Німеччина). При нанесенні спеціального матеріалу активна речовина проникає глибоко в пори зубної тканини, заповнює їх і повністю відновлює структуру зуба.
Таким чином, розвиток карієсу зупиняється, а зуби виглядають абсолютно здоровими - без болю, анестезії та препарування! Використовують також для усунення білих плям на емалі після лікування брекетами.
Одним з основних методів профілактики стоматологічних захворювань є професійна гігієна порожнини рота два рази в рік, індивідуальний підбір засобів гігієни порожнини рота
Experto crede. Вір досвідченому.
Фото роботи до / після
photo
photo
photo
photo
Лікарі
Головний лікар photo Шандра Віталій Вікторович Головний лікар. Засновник клініки. Спеціалізація: ортопедична і терапевтична стоматологія, гнатологія. Категорія вища photo Максимча Сергій Васильович Щелепно-лицевий хірург, імплантолог Лікар стоматолог імплантолог photo Хорішко Віталій Георгійович Хірург стоматолог-імплантолог. Партнер клініки. Лікар стоматолог ендодонтист photo Лойко Віталій Володимирович Лікар-стоматолог-ендодонтист-мікроскопіст; проводить прийом дорослих пацієнтів Стоматолог-хірург-пародонтолог photo Шихматов Євген Олегович Стоматолог-хірург-пародонтолог. Проводить хірургічний прийом дорослих і дітей Лікар стоматолог ортодонт photo Король Наталія Юріївна Лікар-стоматолог-ортодонт; успішно займається виправленням прикусу у дітей і дорослих Лікар стоматолог photo Петренко Тетяна Володимирівна Лікар-стоматолог: проводить комплексний прийом дорослих пацієнтів і дітей Лікар стоматолог photo Глєбов Олександр Андрійович Лікар-стоматолог: проводить комплексний прийом дорослих пацієнтів і дітей. Сучані цифрові технології в ортопедичній стоматології.
Питання відповідь
icon icon
Навіщо встановлювати зубні імплантати?
icon icon
Відсутні зуби і зубні протези, що слабко фіксуються, змушують пацієнтів соромитись і не дають можливості повноцінно приймати їжу. На щастя сьогодні існує можливість не тільки замінити один відсутній зуб, але й відновити функцію і красу навіть повністю беззубих щелеп за допомогою імплантатів.
icon icon
Чи болюча процедура імплантації?
icon icon
Встановлення імплантатів безболісне і зазвичай проходить під місцевою анестезією. Одже, весь біль, який потрібно перенести під час імплантації - це ін'єкція анестезії. Після операції може залишатись набряк і невеликий ниючий біль в ділянці імплантації, але ці відчуття легко знімаються звичайними препаратами типу: німесил, імет, нурофен.
icon icon
Скільки часу триває імплантація?
icon icon
Все залежить від кількості імплантатів: на встановлення одного імплантата відводиться 10-20 хв, весь інший час відведений для візиту: очікування дії анестезії, накладання швів, розповідь лікаря про рекомендації після оперативного втручання.
icon icon
Для чого переліковувати кореневі канали в неживому зубі?
icon icon
При неякісній первинній ендодонтії, особливо якщо зуб буде покриватися коронкою чи буде використовуватися як опорний зуб під мостоподібний протез, при наявності патологічного процесу, що візуалізується рентгенологічно і може супроводжуватись відповідною симптоматикою (біль ,припухлість ,позитивна перкусія, наявність нориці...).
icon icon
Що робити якщо забивається їжа?
icon icon
З цією проблемою потрібно звернутися до лікаря -стоматолога, щоб з'ясувати причину. Вони можуть бути різні, наприклад: зруйновані контакти зубів через скол реставрації, карієс (коронкової частини чи кореня зуба), можливий вже наявний пародонтальний карман і це вже пародонтологічна проблема, яку допоможе вирішити лікар-пародонтолог.
icon icon
Чому потрібно приходити на профілактичні огляди?
icon icon
Для профілактики до лікаря-стоматолога потрібно приходити двічі на рік. Адже всім відомо, що найкраще лікування - це профілактика. При огляді можна виявити проблему на початкових стадіях і попередити розвиток ускладнень, щоб зберегти функціонування зубо-щелепної системи пацієнтам, а також кошти, які вони витратять на лікування (дешевше пролікувати карієс, ніж пульпіт чи періодонтит зуба).
icon icon
Потрібно лікувати молочні зуби чи ні?
icon icon

На жаль, досі існує уявлення про те, що молочні зуби лікувати не потрібно.

Крім загальновідомих фактів ми розповімо Вам ще один, який, можливо, змусить задуматися і самим знайти відповідь на це питання, тому дочитайте до кінця, дорогі батьки!

Отже, з яких причин потрібно лікувати молочні зуби?

*Зуби, які уражені карієсом (не кажучи вже про зуби з діагнозом періодонтит з гнійним ексудатом) є джерелом постійної (!) інфекції в порожнині рота.

*Зубний біль - після прийому їжі або мимовільний буває і у дітей! Молочні зуби нічим практично не відрізняються від постійних. І мало хто з батьків радіє, коли у дитини щось болить, правда?

*Якщо зуби не лікувати, а видаляти раніше часу - це може привести до ортодонтичних патологій (простими словами - порушення прикусу і зміни положення постійних зубів в зубному ряду).

*А тепер - ще одна причина, про яку ви можете не знати.

Це адентія постійних зубів (тобто відсутність зачатків постійних зубів). Це означає, що постійні зуби (один або кілька) НЕ проріжуться ніколи!

Як результат - молочні необхідно зберегти якомога довше. Можливо, вони прослужать все життя!

Якщо Ви дочитали це до кінця і задумалися - цю інформацію ми писали не дарма! Приходьте на консультацію і приводьте своїх найдорожчих малюків.

icon icon
Для чого потрібно робити професійна гігієна і як часто?
icon icon

Baжкодоступні місця в роті - це не вигадка маркетологів для реклами зубних щіток. Йдеться про проміжки між зубами, а також простір під яснами. Фахівці довели, що вичистити ці місця самостійно в домашніх умовах практично неможливо. Згодом, зубний наліт накопичується, утворюючи щільну плівку на зубах і зубний камінь, а це, в свою чергу, призводить до :

  • виникнення карієсу;
  • неприємного запаху з рота;
  • кровоточивості ясен;
  • чутливості зубів;
  • рухливості зубів.

Зняти такий наліт можливо вже тільки за допомогою професійної гігієни порожнини рота.

У нашій клініці - це система лікувально-профілактичних заходів, які направлені на профілактику виникнення і прогресування захворювань порожнини рота.

Виділяємо 4 основних етапи проведення професійної гiгiени порожнини рота:

  • Зняття зубного каменю (над’ясеневого і під‘ясеневого) із застосуванням ультразвукового скелера. Ультразвукова чистка зубів - це сучасний і безпечний метод профеcійної гігієни.
  • Зняття пігментованого зубного нальоту, що з’являеться від чаю, кави, вина і цигарок за допомогою содоструйного апарату Prophy Flex (Air Flow). Цей метод сьогодні вважається найбільш популярним і ефективним серед інших способів відбілювання зубів.
  • Зняття м'якого зубного нальоту, що утворюється від залишків їжі за допомогою спеціальної щіточки і пасти pізної абразивності.
  • Полірування зубної емалі після чистки за допомогою полірувальних гумок.

В нормі, навіть якщо нічого не турбує, професійну гігієну потрібно проводити 1 раз на 6 місяців. Якщо ж у Вас встановлена брекет-система, або ж Ви часто вживаєте каву-чай і палите - 1 раз на 3 місяці. Чому? Тому, що профілактика - набагато ефективніша і дешевша лікування.

icon icon
Ультразвукова чистка шкодить зубам?
icon icon

Що вам потрібно знати про чистку зубів за допомогою ультразвуку!?

Як це відбувається?

Стоматолог використовує скелер - цей апарат виробляє ультразвукові хвилі, які максимально безпечно для пацієнта знімає зубний камінь. Вони дроблять відкладення на мікрочастинки, які далі вимиваються водою. Ультразвукові хвилі знищують зубний камінь не тільки на видимих ​​ділянках зуба, але і під яснами. Чистка ультразвуком допомагає оголити і діагностувати карієс, який був «захований» під зубний камінь.

До переваг ультразвукової чистки зубів відносять:

  • безболісність,
  • безпечне і повне видалення зубних відкладень в невеликих пародонтальних кишенях і на поверхні зубів,
  • вплив виключно на проблемні ділянки,
  • можливість регуляції сили ультразвуку,
  • різноманітність наконечників, призначених для роботи на різних ділянках зубної поверхні,
  • висока гігієнічність процедури.

Коли потрібно бути обережним під час ультразвукової чистки?

При наявності зубних протезів і імплантатів. Ультразвук може не лише зруйнувати мінералізовані відкладення на конструкціях, але і зіпсувати їх структуру. Такі ділянки краще очищати за допомогою Профіфлекс.

Всім тільки здорових посмішок!

icon icon
Чи нешкідливо відбілювати зуби? Скільки часу триває ефект після відбілювання?
icon icon
Відбілювання зубів - це безпепечна для здорових зубів косметична процедура. Ми рекомендуємо професійне відбілювання зубів під наглядом стоматолога. За умови дотримання "білої" дієти.
icon icon
З якого віку можливе відбілювання зубів?
icon icon
Дозволяється відбілювання з 18 років. Відбілюються тільки абсолютно здорові зуби.
icon icon
Чи змінять колір реставраціїї на передніх зубах, якщо пити багато кави або чаю?
icon icon
Вживання великої кількості кави та міцного чаю - призведе до зміни кольору зубів, але це профарбовування нальоту, який утворюється на зубах, якщо недостатньо ретельно чистити зуби. Реставрації виконані з високоякісних матеріалів за всіма правилами і протоколами виробника - не змінюють свого кольору і не профарбовуються харчовими барвниками. Якщо з часом реставрації втратили свій блиск або стали тьмяними - просто запишіться на професійну гігієну і поліровку - цього буде достатньо, щоб зубки заблищали знову!
icon icon
Для чого використовують мікроскоп в стоматології?
icon icon
Мікроскоп допомагає знайти ранні стадії формування карієсу, побачити приховані каріозні ураження, знайти найменші тріщинки в зубах, роздивитись наявність додаткових каналів в коренях, допомагає при вилученні зламаних інструментів з кореневих каналів, полегшує їх розпломбування, та багато іншого. Діаметр кореневого каналу приблизно 1 мм. Мікроскоп дає збільшення в 25 разів. Зараз навіть не уявляю, як ми раніше справлялись зі складною ендодонтією (лікування кореневих каналів) без мікроскопа!
icon icon
Що таке повторна ендодонтія?
icon icon
Основна мета повторного лікування кореневих каналів (вторинної ендодонтії) полягає в усуненні причини, яка викликає запалення в кістковій тканині навколо кореня зуба (інфекція, що знаходиться в кореневому каналі, внаслідок неякісного попереднього лікування). Суть процедури: проходження кореневого каналу до верхівки кореня, розширення, дезінфекція і пломбування кореневого каналу щільним інертним матеріалом. Надалі за зубом потрібно спостерігати: робити рентгенівські знімки через 6, 12 і 24 місяці після пломбування каналів для того, щоб оцінити результат лікування.
icon icon
Що таке підготовка під протезування?
icon icon
Під час терапевтичної підготовки до протезування проводиться повна терапевтична санація (лікування) зубів і зубних рядів:
  • професійна гігієна - видалення над'ясеневого і під'ясеневого зубного каменю з поліруванням зубів і нанесенням фторвмісних препаратів;
  • усунення запальних процесів ясен і слизової оболонки ротової порожнини;
  • лікування карієсу і його ускладнень: пульпітів та періодонтитів;
  • за необхідності депульпування зубів, які підлягають протезуванню (видалення нерву і пломбування кореневого каналу)
icon icon
Що таке синусліфтинг і для чого його роблять?
icon icon
- Синусліфтинг - це оперативне втручання в бічних ділянках верхньої щелепи для створення більшого об'єму кісткової тканини для подальшого встановлення імплантатів. Проводиться під місцевим або загальним знеболенням. Встановлення імплантатів можливо відразу або через 6 місяців.
icon icon
Що таке атрофія кісткової тканини і як це виправити?
icon icon
Атрофія - це зменшення об'єму кісткової тканини після видалення зубів. Зменшення розміру кістки часто заважає проведенню імплантації зубів. В таких випадках проводять процедуру кісткової пластики - аугментацію. Після цього оперативного втручання імплантати можливо встановлювати відразу або через 4 - 6 місяців.
icon icon
Скільки часу прослужить імплантат?
icon icon
Термін служби штучних зубів залежить від загального здоров'я пацієнта, від рівня гігієни, від характеру експлуатації, від того чи завершене комплексне протезування; факторами, що впливають на термін служби запротезованих імплантатів також є паління та вживання алкоголю. Якщо дотримуватись всіх рекомендацій лікаря - зубні імплатати - це пожиттєва інвестиція.
icon icon
Чи можливо виправити прикус у дорослому віці?
icon icon
Однозначно - ТАК :-)!! Прикус можливо виправити у будь-якому віці, адже зуби не припиняють свій ріст і розвиток протягом усього життя, до цього всього вони навіть можуть самі зміщуватись (непомітно). Тому виправити цю ситуацію можливо. У наш час багато дорослих наважується змінити свою посмішку! І тут немає нічого дивного чи сором'язливого. Чому б не змінити частинку себе, якщо про це мріяли все життя?! Король Наталія Юріївна (наш ортодонт) з радістю надасть консультацію з приводу Ваших проблем. І знайте, що все - МОЖЛИВО!!
icon icon
Це боляче - лікування брекет-системами?
icon icon
- Самі брекети встановлювати неболяче! Але після фіксації, коли дуга активується і починає діяти на брекети, відбувається незначний рух самих зубчиків, тому больові відчуття будуть присутні, але це буде не гострий біль, а більш тупий, ниючого характеру. І з кожним днем він буде зменшуватися і зменшуватися. В цей час можливо прийняти будь-які знеболюючі, за потреби.
icon icon
Як довго носити брекети?
icon icon
На жаль, немає чарівних брекетів, які за один день вирівняють всі ваші зубки. Тривалість носіння залежить від вашого клінічного випадку, тобто, від ситуації, яка у вас є в порожнині рота, від того, чи потрібно видаляти зуби чи ні, від віку, в молодшому віці зубки рухаються швидше. Термін лікування може бути від 6 місяців до 4 років.
icon icon
Чому виникає кровоточивість ясен?
icon icon
Кровоточивість ясен під час чистки зубів або прийому їжі виникає від зубних відкладень, а також від запальних процесів: гінгівіту - запалення ясен або пародонтиту - якщо запальний процес уже поширився на тканини пародонту. Для постановки діагнозу і з метою призначення правильного лікування потрібно записатись на консультацію до лікаря-гігієніста або пародонтолога.
icon icon
Видаляти зуби - це боляче і страшно.
icon icon
Ні. Більшість пацієнтів, які були у нас на прийомі, мали страх перед видаленням, який отримали завдяки розповідям знайомих або родичів. Ми допомагаємо побороти ці відчуття перед видаленням, а також використовую ефективну і безболісну анестезію. Також ми використовуємо PRF-методику (плазмотерапія) для пришвидшення і менш болючого заживлення після видалення.
icon icon
Чи можливо вилікувати пародонтит?
icon icon
Пародонтит вилікувати можливо, але на самих ранніх стадіях розвитку захворювання. Якщо парадонтит уже в запущеній стадії і раніше лікування пародонту не проводилось, медицина на даний момент може лише утримувати процес в стадіїї ремісії і відстрочити зниження рівня кісткової тканини. Якщо не звернути увагу на проблему пародонтиту, це призведе до випадіння зубів. Для уточнення діагнозу і складання плану правильного і ефективного лікування - необхідно обстеження глибини пародонтальних кишень кожного зуба + аналіз панорамного знімку, це можливо зробити, записавшись до нашого пародонтолога на консультацію.
 
 
 
Матеріали
Матеріали
photo
photo
photo
photo
photo
photo
photo
photo
photo
photo
photo
photo
photo
photo
photo
photo
photo
photo
photo
photo
photo
photo
photo
photo
photo
photo
photo
photo
photo
photo
photo
photo
photo
Мены потрібна консультація:



Вхід на сайт:

Запам'ятати мене
Відновлення паролю:
Інструкції по відновленню паролю будуть відправлені на пошту вказану при реєстрації на сайті.
Реєстрація:
*
*
*
*
*
Я представляю компанію